These are just a few of the many smiles that Dr. David Jolley makes possible with our orthodontic services in Portland, El Paso and Corpus Christi, Texas. Come in for a consultation at Jolleytime Orthodontics with our orthodontist to discuss which treatment is right for your teeth so that you can achieve a better smile and oral health that you can enjoy.

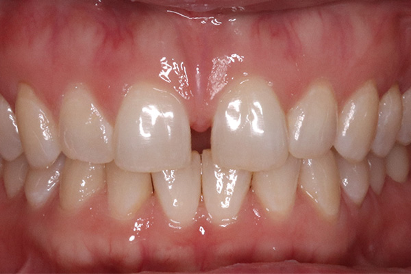
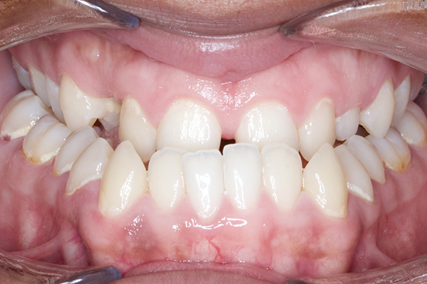
Before

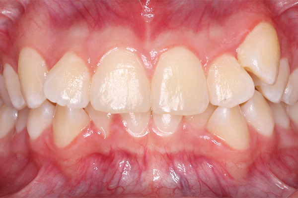
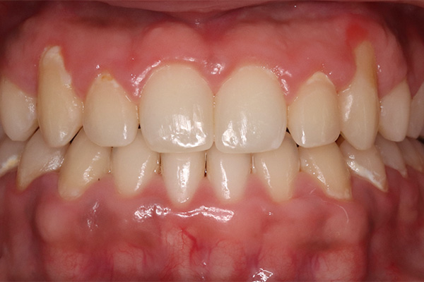
After

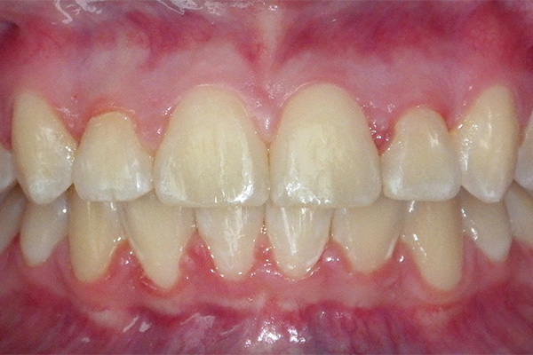
Before

After

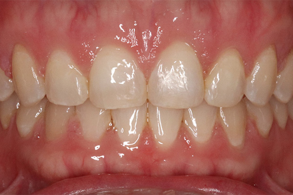
Before

After

We Hope To See You Soon!

Give us a call at one of our locations!